基因过表达细胞系
基因过表达细胞系是研究基因功能、疾病机制和药物作用的重要工具,通过将特定基因的表达水平提高来实现基因的功能增强。此外,还可应用于回补实验,以验证基因敲除后的表型恢复。
通过慢病毒感染法或核转染法,将过表达载体转入细胞中,根据预先摸索的最佳药筛浓度,对细胞进行药物筛选,直到空白组细胞全部死亡,获得基因稳定表达的细胞株。源井生物自主研发的EZ-OE™技术,区别于传统的慢病毒法和转座子法,不仅能实现基因组定点整合和单一拷贝,而且成本低、周期快!

源井技术优势

源井技术优势

EZ-OE™稳转平台
源井生物自主研发的一项基因组工程技术,无需病毒,可安全高效地实现外源DNA 的精确整合与稳定表达。该技术为科研与工业客户提供安全、稳定、表达量高的细胞株,加速基因功能研究、蛋白表达优化与候选药物的筛选和评估过程。
多种载体系统可选
可选慢病毒、质粒、电转等多种转染方式,灵活匹配不同细胞类型
可选荧光抗性:EGFP、mCherry、Luciferase、Puromycin、Neo等。
丰富项目经验
300+基因编辑成功案例,交付稳定、可靠的过表达细胞株
全流程质量控制
RT-qPCR等多维度验证,确保基因表达或抑制效果
多类型细胞覆盖
兼容肿瘤细胞、常规细胞,适配广泛实验模型
基因编辑成功案例 500+
消化系统
内分泌系统
呼吸系统
生殖系统
循环系统
血液,淋巴系统
脑和神经系统
泌尿系统
骨、关节、软组织、皮肤系统
干细胞
眼耳鼻喉口腔系统
服务流程及质量控制
Plasmid with Selection Marker

Cell Transfection/ Transduction


Selection


Expansion

Clone Expansion & Single - cell Clone Isolation


Expression Detection


QC and Cryopreservation

Plasmid with Selection Marker
Cell Transfection/ Transduction

Selection

Expansion

Clone Expansion & Single - cell Clone Isolation

Expression Detection

QC and Cryopreservation

应用案例
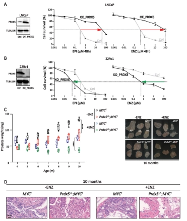
LNCaP细胞过表达PRDX5蛋白
IF=15.1
Advanced Science
Identification of PRDX5 as A Target for The Treatment of Castration-Resistant Prostate Cancer
该研究采用源井生物构建的CRISPR-Cas9敲除PRDX5基因的22Rv1细胞和慢病毒过表达PRDX5基因的LNCaP细胞, 发现了PRDX5通过调控氧化还原影响去势抵抗性前列腺癌(CRPC)进展的新机制,并挖掘了其靶向新型小分子药物聚普瑞锌(Polaprezinc,POL)在细胞、动物、以及临床对CRPC的治疗效果。对前列腺癌临床耐药提供了新型靶标,为CRPC患者提供了联合阿比特龙治疗的新型药物的可能性,以延长CRPC患者生命周期。 查看详情>>

HeLa和HepG2细胞系过表达ACE2蛋白
IF=8.2
Acta Pharmacologica Sinica
SARS-CoV-2 receptor binding domain radio-probe: a non-invasive approach for angiotensin-converting enzyme 2 mapping in mice
为验证血管紧张素转化酶ACE在细胞水平上的亲和力,作者借助源井生物提供的过表达ACE2的HeLa和HepG2细胞系, 首次成功构建了124I-RBD作为新型COVID-19分子靶向探针,并通过RBD与人ACE2受体的结合实验,证实了124I-RBD抗体对ACE2具有高亲和力和选择性。 查看详情>>

间充质干细胞过表达Tandab蛋白
IF=7.5
Stem Cell Research & Therapy
Construction of tandem diabody (IL-6/CD20)-secreting human umbilical cord mesenchymal stem cells and its experimental treatment on diffuse large B cell lymphoma
本文采用源井生物构建的Tandab过表达稳转株及Empty对照稳转株,研究过表达Tandab 蛋白的MSCs对弥漫性大B细胞淋巴瘤 (DLBCL)的治疗效果。结果表明,Tandab(IL-6/CD20)蛋白可以靶向CD20阳性DLBCL细胞,并抑制IL-6相关信号通路,消除IL-6对淋巴瘤细胞的促进作用,这为治疗DLBCL提供了一种潜在策略。 查看详情>>

CT26细胞过表达Luc蛋白
IF=5.2
Cancers
Gas Flow Shaping via Novel Modular Nozzle System (MoNoS) Augments kINPen-Mediated Toxicity and Immunogenicity in Tumor Organoids
气体等离子体是一种用于治疗癌症的新型工具,其中以气体等离子体射流kINPen的功能最为显著。该研究以过表达荧光素酶的CT26细胞(过表达稳转株由源井生物提供)为研究材料,研发了MoNoS系统来改进 kiNPen 的流动特性。研究发现,在临床相关的原料气通量下,MoNoS 适应的 kINPen 治疗可以显著减少癌细胞生长并增加肿瘤的免疫原性,同时验证了其安全性。该结果进一步证明了使用流动成形适配器(例如MoNoS)来增强气体等离子体射流治疗癌症的可行性。 查看详情>>















