干货丨ARPE-19细胞培养和基因编辑Tips


ARPE-19细胞源自人类视网膜色素上皮组织,来源于一名在机动车事故中死于头部创伤的19岁男性的正常眼睛。该细胞系保留色素合成、吞噬光感受器外节等核心功能,且体外培养稳定、传代高效,被广泛应用于视网膜退行性疾病机制、眼内炎症调控、眼部药物筛选及视网膜修复研究,是眼科学基础与研发领域不可或缺的经典细胞模型。小源现在就奉上ARPE-19细胞独家培养秘籍,带大家一次性解锁ARPE-19细胞的培养技巧与基因编辑实操要点!
一、人视网膜色素上皮细胞(ARPE-19)基本信息
- 细胞名称: 人视网膜色素上皮细胞(ARPE-19)
- 细胞形态: 上皮样细胞,贴壁生长
- 细胞培养条件: 90%DMEM/F12+10%FBS
- 气相: 空气,95%;二氧化碳,5%
- 温度: 37℃
- 换液频次: 2-3天/次
- 传代比例: 1:3-1:4
细胞生长状态参考:
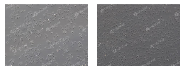
- 正常状态: 细胞呈多角形至不规则多边形;细胞之间连接紧密, 单层、铺路石样 单层排列;细胞排列有序,边界清晰。(见下图)
- 异常状态: 细胞体积增大、拉长,变得不规则;细胞萎缩、变圆,贴壁不牢;细胞碎片增多或胞质内出现透明空泡。(见下图)
二、ARPE-19细胞复苏流程
-
准备培养基
取7mL完全培养基于离心管中备用。 -
细胞解冻
将细胞从干冰里取出,用镊子夹住盖子放入 37℃水浴中快速晃动(注意:水不能没过盖子),使其在1分钟左右完全融化,直至冰块融化至绿豆大小,停止水浴。 -
细胞离心
将解冻后的细胞悬液转移至离心管中,1100rpm条件下离心4分钟,弃去上清液。 -
重悬与接种
用完全培养基重悬细胞,接种于合适大小的培养皿或培养瓶中。 -
细胞培养
将培养皿或培养瓶置于37℃培养箱中培养,24小时后观察细胞状态及贴壁情况。
三、ARPE-19细胞传代步骤(以T25瓶为例)
1. 传代条件
- 当细胞汇合度达到80-90%时可进行传代。
- 传代时在超净台内弃去培养瓶里的培养液,加入5mLPBS洗涤细胞1-2次。
2. 胰酶消化
- 加入1mL胰酶,轻轻晃动瓶子并使胰酶完全浸过细胞
- 将培养瓶放入培养箱孵育 2-3分钟。
- 待在显微镜下观察到大部分细胞变圆变亮,轻轻晃动培养瓶两侧有大部分细胞脱落时,立即终止消化。
3. 终止消化
- 加入2倍胰酶体积即2mL完全培养基终止消化。
- 然后转移至15mL离心管中。
4. 细胞悬液离心
- 1100 rpm 室温离心 4 分钟。
- 离心结束,弃去上清,加入完全培养基重悬细胞。
5. 传代培养
- 细胞按照1:2-1:3比例传代。
- 传代第二天观察细胞状态。
四、ARPE-19细胞冻存步骤
-
收集细胞
按照细胞传代的过程收集消化好的细胞到离心管中。 -
离心
1100rpm条件下离心4分钟,去掉上清。 -
重悬与冻存
用细胞冻存液重悬细胞,按每1mL冻存液含1×10^6个细胞/mL分配到冻存管中,标注好名称、代数、日期等信息。 -
降温与储存
将冻存管置于程序降温盒中,-80℃冰箱中过夜后转入液氮罐内保存。
五、ARPE-19细胞培养注意事项
- 细胞状态: 在细胞生长至80-90%汇合度时传代最佳。
- 对于生长中的细胞,每2-3天更换一次新鲜完全培养基。
- 培养基保存: 确保培养基储存于4°C避光,并在有效期内使用。
- 培养环境: 确保细胞培养环境正常。
- 操作细节: 操作前需预热培养基和胰酶至37℃,避免温度应激。
- 细胞传代操作: 避免过度吹打而造成细胞膜的损伤;贴壁不均匀时可轻摇培养瓶使细胞分布均匀。
六、ARPE-19细胞转染时注意事项
1. 细胞状态要求
- 确保细胞状态良好,使用处对数生长期即 汇合度在70-80% 的细胞。
- 细胞 活率>85%, 可通过台盼蓝进行检测。
- 使用 低代次细胞。
- 注意细胞消化时间, 避免过度消化, 对细胞造成伤害。
- 实验过程中细胞要吹打成 单细胞, 避免细胞聚团。
2. 转染试剂与预实验
- 转染试剂使用前需要充分混匀保证其均匀性。
- 建议进行药筛预实验找到 最佳药筛浓度, 以便于转染后进行药筛。
3. 电转法
- 控制细胞量,电转后根据细胞量接种至合适的培养板里。
- 使用温和的胰酶,并用含血清的培养基彻底终止消化。
- 用PBS洗涤细胞1-2次,彻底去除残留血清,避免离子干扰电穿孔。
- 进行预实验对电转参数进行优化。
- 保证电转后细胞 贴壁率≥70%。
- 控制实验时间,电转全程不宜过长。
4. 慢病毒法
- 进行预实验找到最合适的MOI。
- 感染病毒前细胞汇合度控制在30-40%之间,不可过高。
- 感染前添加助染剂Polybrene。
- 感染后24h进行换液。
- 感染使用的病毒液避免反复冻融。
- 若感染效率过低可进行复感染(需确保细胞对病毒耐受性良好)或尝试使用离心法感染。
5. 脂质体法
- 选择适合的脂质体转染试剂,通过预实验重新优化DNA/试剂比例,确定最佳转染条件。
- 使用增强剂:有些试剂系统提供专门的增强剂,可以显著提高在某些难转染细胞中的效率。
- 在制备脂质体-DNA复合物时,使用无血清培养基,如Opti-MEM。血清会干扰复合物的形成,导致沉淀和效率低下。
- 转染前24h进行细胞铺板,转染前细胞汇合度控制在60-70%。
- 先稀释DNA于Opti-MEM,再加脂质体 (反向混合会失效)。
- 室温静置15-20分钟(<10分钟复合不充分,>30分钟毒性增加)。
- 转染培养基中严禁添加抗生素,因阳离子脂质体可增加细胞通透性,导致抗生素进入细胞引发毒性。
- 复合物添加时应均匀、缓慢地滴加到培养基里,并轻摇混匀,避免直接冲击细胞,切忌剧烈吹打。
七、ARPE-19细胞铺单克隆实验注意事项
1. 细胞状态要求
- 使用对数生长期的细胞进行铺克隆,铺克隆前细胞汇合度建议控制在70%左右。
- 铺克隆时细胞活率≥80%。
2. 试剂与预实验
- 提前预温所有试剂(包括培养基、胰酶、PBS)。
- 建议使用温和消化试剂(如TrypLE Express)。
3. 铺板策略
- 进行预实验找到合适的铺克隆梯度,避免单克隆占比太低。
- 细胞接种96孔板时需确保细胞分布均匀;外围96孔加入PBS防止蒸发。
4. 稀释方法
- 使用“极限稀释法”进行铺克隆。
- 稀释细胞计数后结果最好落在1*10^6-2*10^6之间。
电转后细胞图
八、ARPE-19细胞培养常见问题及解决方案
1. 细胞生长缓慢怎么办?
表现: 细胞增殖速度远低于正常(正常 2-3 天传代一次)。
可能原因:
- 细胞状态老化:细胞传代次数过多,活力下降。
- 接种密度过低:细胞汇合度太低,难以形成良好的生长环境。
- 培养条件不佳:培养箱温度、CO₂浓度不准确或不稳定。
- 支原体污染:导致细胞生长缓慢的最常见隐性污染。
- 培养基成分不适:未使用适合ARPE-19的培养基(如DMEM/F12),或血清质量不佳(如血清等级不足、批次差异)。
解决方法:
- 控制传代次数,避免细胞过度传代,在细胞处于对数生长期内进行传代;复苏低代次细胞重新培养。
- 调整接种密度:根据细胞生长特性,调整接种密度至适宜范围。
- 检查培养箱参数设置是否正确,确保温度、CO₂浓度、湿度等条件适宜。
- 进行支原体检测:若阳性,建议丢弃该批次细胞,重新复苏早期冻存的细胞,或使用支原体清除试剂(但可能改变细胞特性)。
- 使用含10%优质胎牛血清(FBS)的DMEM/F12培养基,避免频繁更换血清品牌。
2. 细胞形态异常如何解决?
表现: 细胞皱缩、边缘不清晰;细胞变大、颗粒增多、空泡增多、上皮样变为成纤维样。
可能原因:
- 血清质量差或细胞老化。
- 营养不足或消化过度,传代比例过低。
- 代谢废物积累(培养过久)。
解决方法:
- 使用经过验证的优质胎牛血清,避免使用来源不明的血清;复苏早期冻存的代次低的细胞株。
- 更换新鲜培养基,调整胰酶消化时间(一般2-3分钟);使用更适宜的传代比例(如1:3或1:4),确保细胞在接种后能较快接触并形成单层。
- 及时传代和换液,不要在细胞长满100%后才处理,在80%-90%密度时传代最佳。
如果你正打算使用ARPE-19细胞开展研究,欢迎进入源井 红棉·万象全品类细胞库 搜索,源井生物拥有超 1000 种野生型细胞,覆盖多研究领域,全方位满足你的科研需求~











